023-67739133

新闻资讯

NEWS CENTER
栏目导航
当前位置:超声波减肥 > 超声波去眼袋 >
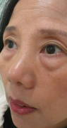
  • 【笔记】不开刀去眼袋能保持多久

    我终于敢素颜自拍了!!作为35+的熬夜党+手机控,眼袋直接让我老了10岁... 每次化妆都要用遮瑕填,结果卡粉结块更显老!直到遇到这个「黑科技」手术不...

  • 【笔记】去一次眼袋大概多少钱呢

    没想到大家眼中的乖乖女也会去做医美吧!其实我哇,什么水光针、美白针都有做过,毕竟年轻人但凡多爱美一些的都会考虑这些吧,虽然有的没有行动,...

  • 【笔记】眼袋可以做微创手术吗?

    从我的经历来看,眼袋与其做微创,不如直接做不开刀的,就是无创!这可是我亲身体验过的结论!有实图可做对比的! 连续熬夜改方案+跨国差旅,导致...

  • 【笔记】去眼袋手术后遗症

    我的卧蚕本来就挺小的,想做眼袋术吧,看着网上一堆说做眼袋会让卧蚕消失,好家伙,直接吓得我不敢做。 术前焦虑大公开: 我给大家看看我手术前的...

  • 去眼袋会对卧蚕有影响吗?

    去眼袋会对卧蚕有影响吗?影响大不大呢? 对于这个问题,我的回答是:丝毫没有影响! 其实这个问题我前几天科普过的,但是我的主页每天都有新的内...

  • 【笔记】眼袋手术最佳年龄

    今天说说我这位30+阿姨的血泪史:内切眼袋反弹后,我靠不开刀技术实现永久保鲜!效果真的是永久的!合同保障的呢! 今天我来分享下我的眼袋是怎么消...

重庆、北京、广州超声波减肥瘦身、去眼袋、热玛吉、法令纹祛除 © 2002-2021 整形美容网        

美丽热线

023-67739133