023-67739133

新闻资讯

NEWS CENTER
栏目导航
当前位置:超声波减肥 > 超声波去眼袋 >
  • 提眉术后会留下疤痕吗?

    Hello,大家好,这里是重庆超雅的梁杰院长! 今天在我们单位后台看到有一位50岁的求美者问到我们单位有没有提眉术,她非常想做这个,还说她身边好几...

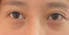
  • 如何区分假性眼袋与真性眼袋

    眼袋是许多人面临的眼部问题,它不仅影响我们的容貌价值,还可能暗示着你的身体健康状态已经有问题了。但是,说到它的类别嘛,大家可能是迷迷糊糊...

  • 眼袋的成因是什么?有何影响?怎么消除?

    深入了解眼袋,这样才可以找到适合自己的方法。下面我们从三个方面入手来对相关方面的情况进行跟进! 第一个问题:眼袋的成因是什么? 虽然说眼袋...

  • 脂肪型眼袋怎么去除

    这位求美者今年55岁了,多年来眼袋的困扰从未停止过,而且伴随年纪的增大吧,眼袋愈发的严重起来了,而且周边的周围也越来越多的,特别的烦人。 △...

  • 去眼袋却遇到术后凹陷?如何避免?

    去眼袋却遇到凹陷的原因认真分析就晓得正常条件下是不会出现明显的下凹情况的,毕竟我们睑下的形态来说,保持微微的凹感是原生态就带着的。所以,...

  • 提眉术一周了还不消肿是失败了吗?

    前几天,看到有粉丝朋友在超雅后台给我留言: 说到自己在别的地方做提眉术已经一周了,但是没有消肿,是不是失败了?会不会有后遗症呢? 这位粉丝...

重庆、北京、广州超声波减肥瘦身、去眼袋、热玛吉、法令纹祛除 © 2002-2021 整形美容网        

美丽热线

023-67739133