023-67739133

新闻资讯

NEWS CENTER
栏目导航
当前位置:超声波减肥 > 超声波去眼袋 >

先天性的眼袋怎么消除简单方法

发布时间:07, 26, 2025         已有 人浏览
求美者:“眼袋这个手术部位太特殊了,我个人想法是做不开刀的,毕竟眼睛条件再好也经不住破坏,不知道我这个条件能不能做不开刀的?”
 
我:“只要身体条件合适,那就能做我主治的去眼袋手术,这点不用担心。”
 
去眼袋手术
 
以上这段对话是我跟患者的术前对话,通过简短的对话可以看出:不开刀去眼袋的桎梏没有大家想象的那么多,只要身体健康就可以做。
 
去眼袋手术
 
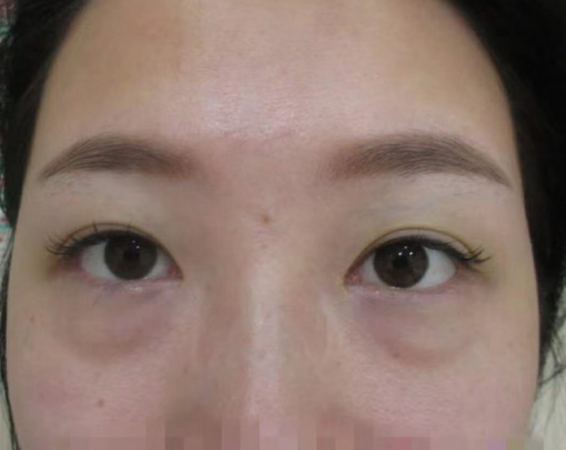
下面看看这位求美者的眼部状态吧:

去眼袋手术
 
△去眼袋手术前
 
这位患者是先天性眼袋,属于遗传父母那一辈的眼袋,她年龄也不大,今年26岁,但是在15-16的时候就有眼袋了,她记得非常清楚,因为那时候正值青春期,特别爱美,天天对着镜子看眼睛下方到底是什么,怎么奇奇怪怪的。
 
去眼袋手术
 
△去眼袋手术前
 
在先进仪器和我的触诊诊断下确诊了她是中度眼袋,脂肪的成型度比较高,密集程度也高,而且因为长期熬夜导致眼圈明显,附着在皮肤上显得暗沉,导致双目无神,憔悴。
 
去眼袋手术
 
△去眼袋手术前
 
在检查过程中还确定他是眼部两侧脂肪容量不均等的患者,这和多方面的因素相关,不影响治疗,毕竟我是仪器识别目标,不是目测。
 
去眼袋手术
 
下面是术后的恢复情况,眼周条件瞬间变好,十分的明显,如下:

去眼袋手术
 
△去眼袋手术后
 
这年轻人做完手术后变化往往都是明显的,毕竟术前的面部条件不错,只不过有个碍眼的眼袋,看这位年轻人的状态就知道我说的没错。
 
去眼袋手术
 
△去眼袋手术后
 
不夸张的说,之前患者那眼部条件看着跟快40岁的一样,术后就不同了,明显是20几岁的年轻人。
 
先天性眼袋的案例很多,在给大家公布一则经我治疗的案例:
 
去眼袋手术
 
△去眼袋手术后
 
我是超雅主任医师梁杰,专注不开刀去眼袋30年,有任何眼袋问题,都可以给我留言。
 
咨询方式:微信cqcyzxmr11 电话023-67739133
 
 


变美预约微信:cqcyzxmr11
重庆、北京、广州超声波减肥瘦身、去眼袋、热玛吉、法令纹祛除 © 2002-2021 整形美容网        

美丽热线

023-67739133