做内切眼袋会不会反弹呢?肯定是会反弹的!
我为何如此说呢?因为这个技术是在眼睑内开口,然后切掉部分脂肪,大家说剩下的脂肪会怎样?肯定是会伴随着年龄、熬夜、喝水等因素而不断生长,从而引起反弹的。
所以,用内切的方式做去眼袋手术是铁定在不同的时间段内反弹的,因此治疗后医生都会苦口婆心的劝你不要熬夜,要经常抹点保养品等,目的就是为了让你延长保质期。
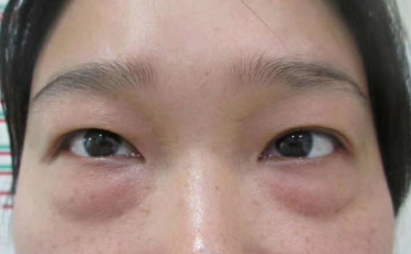
像这位患者2年前找我做修复眼袋时在8年前做过内切:
△去眼袋手术前
患者从面相上看着就不是年纪大了,的确,她找我做修复时才35岁,多年前的内切让她当时确实取得一定的效果,但是没过几年就反弹了。
△去眼袋手术前
她那几年的确是经常熬夜和晚睡的,工作原因,这点打工人是拒绝不了的,所以眼下如今的鼓包容量比较大,经我检查已经判定是重度眼袋了。
△去眼袋手术前
在检查的时候我就得知她是遗传性眼袋,这种眶膈脂肪高度频繁发发育的体质,一次解决不到位立马就会反弹,只不过是时间问题而已,这位患者不就反弹了好几年了。
我的治疗是用仪器锁定目标的,因此目标只要通过声波定位和识别能力找到后就不会遗漏,确保不反弹。
下面是患者手术后两年的情况:
△去眼袋手术后
这两年不管是面部还是眼部,她基本没啥特别的改变,眼部依然是饱满干净的,平平的,历经熬夜、喝咖啡、作息不规律的两年生活眼下依旧没有出现鼓包。

△去眼袋手术后
在治疗体系上我保障了患者不反弹,我在做前还跟患者签订相关合同,因此大家可以放心用我的技术,倘若反弹免费重新做!
我是超雅主任医师梁杰,专注不开刀去眼袋30年,有任何眼袋问题,都可以给我留言。
咨询方式:微信cqcyzxmr11 电话023-67739133