023-67739133

新闻资讯

NEWS CENTER
栏目导航
当前位置:超声波减肥 > 超声波去眼袋 >

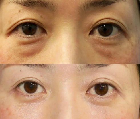
如何判断去眼袋技术是否正规?

发布时间:11, 17, 2025         已有 人浏览
灵魂拷问:美容院做眼袋最怕被问什么问题?
 
这个问题不知道大家想过没有,也许大家看到的仅仅是美容院包装的高大上的美容项目,但是里面的弯弯道道搞不清楚的话,你在去眼袋这条道路上很可能被他们坑骗!

眼袋
今天,我就跟大家说下,如果你在美容院做眼袋,他们最怕被问什么样的问题。实际上,我可以肯定的告知大家:美容院根本没有权利行使眼袋治疗!
 
眼袋
 
【美容院最怕的4个灵魂拷问】
 
①“请出示医师专利证书”
 
美容院不是经常以自有研发的眼袋专利、高端大气上档次的眼袋项目、纳米级眼袋治疗等作为宣传材料吗?那就让他们拿出医师专利证书。
 
眼袋
 
放心吧,百分百的没有!因为美容院连一个正儿八经的两证齐全的眼袋医师都没有,怎么可能有专利呢!所以,要查技术,先查验资质和证书!一招就破!
 
眼袋
 
②“提供真实顾客联系方式”
 
如果大家只看美容院的客源是不靠谱的,毕竟可以请托儿在美容院里当群众演员对吧。所以,要让他们提供实顾客联系方式,看看顾客眼袋前后的对比。
 
眼袋
 
放心吧,他们根本不可能给你提供的,毕竟没有真实的眼袋案例,怎么可能有顾客联系方式呢!当然了,还有一绝招:要求看眼袋现场顾客效果!这一招直接让美容院破功!
 
眼袋
 
③“合同写终身保障”
 
让他们提供眼袋治疗合同,并且有保障终生条款,他们肯定不会给你签订的,这对于他们等于有了法律的约束。他们会明确的跟你说:法务拒绝!
 
眼袋
 
总之,美容院的套路再多,只要认证了他们不是正规的眼袋整形机构,说的再多也没有用!眼袋手术前要验证医生两证+职称+专利证书+医院资质!
 
眼袋
 
避坑:查资质+眼袋手术效果视频验证,别信水军!现在买水军的眼袋机构多的很,大家要看口碑和评价!
 
眼袋
 
我是超雅主任医师梁杰,专注不开刀去眼袋30年,有任何眼袋问题,都可以给我留言。
 
咨询方式:微信cqcyzxmr11 电话023-67739133
 
变美预约微信:cqcyzxmr11
重庆、北京、广州超声波减肥瘦身、去眼袋、热玛吉、法令纹祛除 © 2002-2021 整形美容网        

美丽热线

023-67739133