023-67739133

新闻资讯

NEWS CENTER
栏目导航
当前位置:超声波减肥 > 超声波去眼袋 >

【笔记】眼袋手术前要做好什么功课?

发布时间:09, 26, 2025         已有 人浏览
做眼袋术前一定要做好相关方面的调查,一定要直接灵魂三连问:
 
①做眼袋是质保终生还是几年?
②是否有正规的眼袋检查仪器?
③恢复期多久?

去眼袋手术
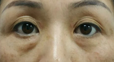
有了这三个问题,在看医生的回答基本上你就能确定他们的治疗方式是否是你所需要的。这可是我做了好多功课后总结出来的。下面给大家看看我的眼袋:
 
去眼袋手术
 
△去眼袋手术前
 
我通过手术前的功课以及相关会诊确定了我是中等程度的眼袋,脂肪发育集中的位置也凸显,毕竟皮肤凸起的部位基本上就是了,我的脂肪膨出主要是在内侧和中侧。
 
去眼袋手术
 
△去眼袋手术前
 
而且我眼下方的脂肪左右两侧的量还不同,这明眼人一眼就能看出我是右眼脂肪量低,左眼下方的脂肪量都快到重度了,幸好我的皮肤还足够的紧实。

去眼袋手术
△去眼袋手术前
 
作为一名希望不开刀的眼袋患者我在对比多家单位的时候注重他们的治疗模式以及恢复时间,最终确定在超雅治疗!
 
去眼袋手术
 
面对我问的三个问题,超雅的梁医生给我的答案是:
 
①手术前签终身质保合同(效果反弹免费重修,合同明确标注“不收费”条款)。
②单位有扩视设备可直接定位眼袋位置、容量、体积、分布等等。
③无创技术,三天可自然,既做既走,隔天可上班。
 
既然三天可自然,那就看第三天的效果:
 
去眼袋手术
 
△去眼袋手术后
 
即便左右两侧的脂肪量不一样,但是人家的技术依然会帮我做到平整度差不多,绝对的平整是不可能的,毕竟世界上没有完全一样的两片叶子,但是视觉上、美观上的平整是可以的。
 
去眼袋手术
 
△去眼袋手术后
 
术前对会诊几家单位是真的香!我面诊了多家才敢下手,看我的效果,三天真的是无浮肿无明显影响的,跟正常人一样。
 
去眼袋手术
 
△去眼袋手术后
 
效果好,大家都看得见吧,只不过我手术前就有眼周细纹,这些想要改善需要其他方面的项目了。不过,眼下方没有眼袋就很好了,因为我觉得负担轻了,没有压迫感了。
 
去眼袋手术
 
咨询方式:微信cqcyzxmr11 电话023-67739133
 
变美预约微信:cqcyzxmr11
重庆、北京、广州超声波减肥瘦身、去眼袋、热玛吉、法令纹祛除 © 2002-2021 整形美容网        

美丽热线

023-67739133