023-67739133

新闻资讯

NEWS CENTER
栏目导航
当前位置:超声波减肥 > 超声波去眼袋 >

【笔记】眼袋改善是真的吗

发布时间:09, 26, 2025         已有 人浏览
 
【52岁逆龄记】被眼袋折磨20年,我偷偷做了这个决定...没想到我这个决定是不错的,因为效果挺好的,没想到年轻了。
 
去眼袋手术
 
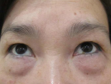
是的,今天要分享我人生最勇敢的决定:?52岁的我,终于和「熊猫眼」彻底说拜拜啦!我的眼袋终于做好了。这是我术前的情况:
 
去眼袋手术
 
△去眼袋手术前
 
我这个样子已经好多年了,出门就会被问是不是没睡醒,跟老姐妹们出去游玩拍照必须开美颜+修图。之前的我是不会修图的,这不硬生生的被眼袋逼着学会了。
 
去眼袋手术
 
△去眼袋手术前
 
我老公每次看到我拍照后修图那么久,还一直说我臭美,还说【自然老去最美】,还说他就不在意他那对大眼袋。我是女性,爱美是本性,他一大老爷们自己邋遢不说,还说我臭美,无语了。
 
去眼袋手术
 
△去眼袋手术前
 
上面这些图都是我的术前素颜,真的老10岁啊!所以我想做医美!但是我老公反对,说我作,做手术有风险,要接受自己自然老去的现状。
 
去眼袋手术
 
我才不听他的呢!
 
‌最终说服老公的3个理由:
 
01,‌ 变美≠不自然(我要的是年轻感不是换脸)。
02,专业的事交给专业的人(选对医生是关键),我选的是超雅的梁杰,专门做不开刀!
03,我会对自己的人生负责,所以选医生的时候我认认真真看了梁医生的案例,真实可靠!
 
去眼袋手术
 
手术方案:不开刀去眼袋
主治医生:梁杰
 
术后5天效果:
 
去眼袋手术
 
△去眼袋手术后
 
这年龄真的不是障碍,看我现在这个情况,眼下方平平的,而且非常自然,没有动过刀就是不一样,连我老公都心动了,想约梁医生的手术了。
 
去眼袋手术
 
△去眼袋手术后
 
我这几天恢复起来也挺省事的,就是休息+吃的清淡,无伤口恢复就是快,这才5天功夫就能大大方方的外出见人了。其实做完当天也能见人,要说自然的话起码3天。

去眼袋手术
这样的眼袋改善,大家觉得如何?
 
咨询方式:微信cqcyzxmr11 电话023-67739133
 
变美预约微信:cqcyzxmr11
重庆、北京、广州超声波减肥瘦身、去眼袋、热玛吉、法令纹祛除 © 2002-2021 整形美容网        

美丽热线

023-67739133