023-67739133

新闻资讯

NEWS CENTER
栏目导航
当前位置:超声波减肥 > 超声波去眼袋 >

【笔记】怎么治好眼袋?

发布时间:09, 26, 2025         已有 人浏览
作为一名经常熬夜的眼袋患者,我的眼袋问题堪称灾难级的,眼下眼下常年挂着两片青黑色阴影。我使用过美妆博主推荐的「治遮瑕法」对我完全无效,甚至因为反复涂抹引起眼纹变多,真·得不偿失!
 
去眼袋手术
 
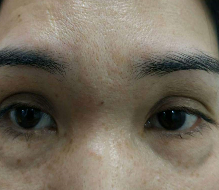
直到在网上看到梁医生的专利技术,这场持续1825天的颜值保卫战才迎来转机。先来看看我的眼下情况:
 
去眼袋手术
 
△去眼袋手术前
 
我天生遗传了父亲的脂肪代谢障碍,也就是说我的眼袋脂肪比别人更容易长,长得更快,我20岁左右的时候眼袋就有啦,而且做过一次开刀的,这回是反弹的。
 
去眼袋手术
 
△去眼袋手术前
 
虽然我颜值平平,但是眼袋也不能不顾啊,毕竟看着真的憔悴,关键是时间久了虽然也没有引起其他病症,就是觉得眼睛酸涩发生的时间久了。
 
去眼袋手术
 
△去眼袋手术前
 
黑科技深度解密:
 
通过梁医生【不开刀去眼袋】案例+科普我了解了技术的本质,它是第四代的系统,升级了4代,前面3代都淘汰了。

去眼袋手术
科学术前准备:
 
01,术前会用镇痛的药物敷眼周皮肤,确保术中无痛。
02,做好卸妆准备,术前要拍摄图片。
 
术后3天恢复效果:
 
去眼袋手术
 
△去眼袋手术后
 
关键72小时特别重要,一定要注意不要低头,不要吃很热的食物,不要提重物,不要做重活,这些都是梁医生告诉我的。
 
去眼袋手术
 
△去眼袋手术后
 
我的效果完美的诠释了眼袋脂肪被精准锁定和调控的效果,不仅无伤害,皮肤表面都是平整的,其余的根本没有手术的迹象。
 
去眼袋手术
 
△去眼袋手术后
 
眼周年轻化让整体视觉年龄逆转4--7岁,我的容貌焦虑指数从7.2降至2.4,因为整个人看着年轻了,关键是眼睛好舒展啊,不再酸酸的。
 
去眼袋手术
 
真心建议45+的姐妹把美容预算投资在眼周,毕竟眼睛年轻全脸就年轻啊!
 
咨询方式:微信cqcyzxmr11 电话023-67739133
 
变美预约微信:cqcyzxmr11
重庆、北京、广州超声波减肥瘦身、去眼袋、热玛吉、法令纹祛除 © 2002-2021 整形美容网        

美丽热线

023-67739133