023-67739133

新闻资讯

NEWS CENTER
栏目导航
当前位置:超声波减肥 > 超声波去眼袋 >

【笔记】去眼袋的方法有哪些

发布时间:09, 26, 2025         已有 人浏览
医美不是年轻人的专利,我们熟龄女孩更要勇敢变美呀!
 
说这句话的初衷就是:不分年龄的追求美,不要被年龄桎梏!而且我也通过医美实现了自己的美丽价值。
 
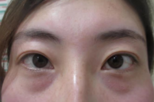
去眼袋手术
 
‌之前被老公吐槽像没睡醒的熊猫,眼霜+按摩仪折腾半年都没用!后来听别人说超雅的梁医生做眼袋无介入,做的漂亮,眼睛啥事没有,我就预约了。
 
去眼袋手术
 
△去眼袋手术前
 
梁医生面诊时用手触摸我的眼袋说:你这种情况最适合「不开刀去眼袋」,不用开刀就能把膨出脂肪消除。还说我这个眼袋是中度了,往下垂,快速发展的话很快就重度了。
 
去眼袋手术
 
△去眼袋手术前
 
面诊高能现场:
 
触诊过后梁医生还用专业仪器扫描我的眼袋部位,检查后说:
 
‌内侧脂肪团像小花生(直径约5mm)
中侧脂肪已开始下垂,脂肪分布比较集中,肌肤倒是蛮紧实的。
 
去眼袋手术
 
△去眼袋手术前
 
听完医生的介绍后我立马就决定手术了,按照我的情况再拖两年的话还不得直接掉到下巴上啊,抓紧做了好安生。
 
去眼袋手术
 
去眼袋手术体验:‌
 
01,‌零痛感‌:好多人说打麻药跟被蚊虫咬一口差不多,梁医生做的这个项目不打麻药,就涂镇痛药。
 
02,‌超快速‌:全程,20分钟,做完就能逛街。
 
03,‌无恢复期‌:第三天上班同事都没发现
 
去眼袋手术
 
‌我特意选周五下午做手术,周末宅家追剧《甄甄嬛传》,周一上班被夸了,因为眼睛是真的亮晶晶的,如下图:
 
去眼袋手术
 
△去眼袋手术后
 
这也就是不到3整天的功夫,效果就这么好,现在眼下方有轻微发黄,我戴眼镜盖住了,看不出来,浮肿倒是没有了,恢复是真的快啊。
 
去眼袋手术
 
△去眼袋手术后
 
我仅仅是涂个口红而已,看着气色咋个这么好呢,皮肤紧实,没有大眼袋的困扰后连黑眼圈都淡化了好多啊!
 
去眼袋手术
 
给犹豫党的建议:
选医生看案例:梁医生手机里全是同款眼袋对比图!
术后恢复要跟上:一定要谨遵医嘱!
 
咨询方式:微信cqcyzxmr11 电话023-67739133
 
变美预约微信:cqcyzxmr11
重庆、北京、广州超声波减肥瘦身、去眼袋、热玛吉、法令纹祛除 © 2002-2021 整形美容网        

美丽热线

023-67739133