023-67739133

新闻资讯

NEWS CENTER
栏目导航
当前位置:超声波减肥 > 超声波去眼袋 >

【笔记】有眼袋了怎么处理啊

发布时间:10, 27, 2025         已有 人浏览
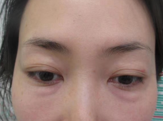
作为一个长期熬夜的职场妈妈,我的眼袋已经膨出到能装下整个悲伤故事——下垂呈袋状、黑眼圈堪比熊猫血统,连卧蚕都被挤没了…
 
去眼袋手术
 
△去眼袋手术前
 
术前照真的不敢放出来的,但是想想还是放出来吧,为了让大家清晰的看到对比的情况,而且那是之前的我,跟现在的我有什么关系啊,哈哈~
 
去眼袋手术
 
尤其是现在!我可以自信素颜出门了!不得不说,找到一位好的医生给你诊治真的非常重要,只要医生找到为了,效果自然而然的就会很不错的!
 
去眼袋手术
 
△去眼袋手术前
 
我是在超雅做的不开刀治疗,前前后后咨询了半个小时吧,医生分析了我的眼部情况,确定是中度的真性眼袋凸起,医生还夸我皮肤好呢,说我五官端正典雅,没有眼袋后颜值肯定改变。
 
去眼袋手术
 
△去眼袋手术前
 
当初我还以为医生是哄我的呢,我就没有在意,但是做完手术后的效果是真的好啊,颜值是真的变化大啊!
 
去眼袋手术
 
医生给的方案绝了:不开刀去眼袋!‌
 
‌过程超安心‌:
 
在眼睑下发来来回回的滑动做治疗,也没有破皮什么的,真心不痛!膨出的脂肪20分钟就做好的,之后眼罩,做完就回家,外表完全看不出创口!
 
这是当天情况:
 
去眼袋手术
 
△去眼袋手术后
 
效果直接封神!‌眼袋平了,黑眼圈阴影减少!苹果肌和眼睛自然衔接,卧蚕还在线,跟我印象中的恢复情况几乎一样,满意!
 
术后3天:
 
去眼袋手术
 
△去眼袋手术后
 
同事只问我“最近气色这么好?”,不化妆都能看出我气色好,真真是眼袋消失后整个人的状态不一样了呢,眼睛都有在变大!
 
术后5天:
 
去眼袋手术
 
△去眼袋手术后
 
5天后完全自然,化妆再也不卡粉了!现在自拍不用狂找角度,给同款眼袋姐妹的建议‌:一定要找专业医生!
 
最后暴风哭泣…为什么没早点做!
 
去眼袋手术
 
咨询方式:微信cqcyzxmr11 电话023-67739133
 
变美预约微信:cqcyzxmr11
重庆、北京、广州超声波减肥瘦身、去眼袋、热玛吉、法令纹祛除 © 2002-2021 整形美容网        

美丽热线

023-67739133