023-67739133

新闻资讯

NEWS CENTER
栏目导航
当前位置:超声波减肥 > 超声波去眼袋 >

【笔记】去眼袋不开刀是什么方法?

发布时间:10, 20, 2025         已有 人浏览
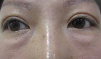
生完二胎后,我的眼袋直接“焊”在脸上!真的是每天都如影随形的跟着我,怎么保养都保养不掉这对大如洪钟的大眼袋!
 
去眼袋手术
 
△去眼袋手术前
 
我曾经使用各种化妆品遮盖的,但是上妆的第一步就把我难住了,因为上妆要擦各种水乳和面霜,我的护肤直接涂出卡粉沟壑!
 
去眼袋手术
 
△去眼袋手术前
 
要说遮瑕膏,我也各大品牌的买过,也是越遮越显脏,这上妆之后我也没看眼袋小多少,反而为了盖住大眼袋不停的擦粉显得整个人化的有点不伦不类的。
 
去眼袋手术
 
△去眼袋手术前
 
同事问“是不是天天熬夜”,实在受不了,我才在网上查询眼袋手术的内容,看到超雅的不开刀做眼袋立马做各项研究,最终也没有发现啥弊端,这才决定在这里治疗哦!
 
去眼袋手术
 
△去眼袋手术前
 
会诊那天我就定好治疗的医生了,就是超雅的梁杰院长,所以当天是素颜去的,可以清晰的看到我术前死亡顶光图片,眼袋直接垂到苹果肌了,满满的下垂感,特别的大!

去眼袋手术
△去眼袋手术前
 
为什么选不开刀?
‌怕留疤‌:传统手术我听说要缝针,留疤。
‌怕恢复期‌:带娃+工作忙,没时间躺平
‌怕疼‌:打麻药都手抖的体质,不开刀不打针,皮肤麻醉就成。
 
真实手术效果
 
如下图是第1天哦:
 
去眼袋手术
 
△去眼袋手术后
 
做完后我当场照镜子就发现眼袋直接平了80%,虽然还有一些浮肿吧,有点眼袋遗留的感觉,但是医生提前给我打过预防针,这是水肿!
 
第2天的效果来了:
 
去眼袋手术
 
△去眼袋手术后
 
眼下直接平了,眼袋消失的无影无踪,而我根本没有留疤,这是不开刀的杰作!效果真的非常好,恢复超级快!
 
第5天直接逆袭了朋友们,如下:
 
去眼袋手术
 
△去眼袋手术后
 
老公说“你最近气色好好”,就连同事也问我是不是做了热玛吉,怎么眼袋不见了,皮肤也好了许多,整个人的气色大变!
 
去眼袋手术
 
咨询方式:微信cqcyzxmr11 电话023-67739133
 
 
变美预约微信:cqcyzxmr11
重庆、北京、广州超声波减肥瘦身、去眼袋、热玛吉、法令纹祛除 © 2002-2021 整形美容网        

美丽热线

023-67739133