023-67739133

新闻资讯

NEWS CENTER
栏目导航
当前位置:超声波减肥 > 超声波去眼袋 >

【笔记】中老年人如何有效的根治眼袋?

发布时间:10, 15, 2025         已有 人浏览
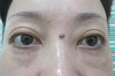
身为中老年人,担心的事情太多了,担心自己身体突然不好,担心自己的家庭,毕竟上有老下有小。中年人不容易,想变美都受限制!就拿我来说吧,我这大眼袋想去掉可是费劲了。
 
去眼袋手术
 
△去眼袋手术前
 
我一直都害怕动刀的,我知道网络上好多好多可以用刀子切掉眼袋的办法,但是我不敢用啊,我比较胆小,而且我上有老下有小的,万一割坏了毁容了或者身体出现问题了怎么办呢。
 
去眼袋手术
 
△去眼袋手术前
 
所以,对于“惜命”的中老年群体之一的我来说,用一个非常安全、可靠,还不用动刀的方法治疗眼袋是必须的!但是,不好找啊!
 
去眼袋手术
 
△去眼袋手术前
 
在这里我要感谢我的朋友,通过我的一位朋友我了解了超雅的不开刀治疗眼袋,明白了这个方法是真正可以让我不挨刀就可以顺顺利利抚平眼袋的办法。我做了好多功课,内心里认定它了,我才去这个技术的发源地——重庆超雅。
 
去眼袋手术
 
△去眼袋手术前
 
接待我的是超雅的梁杰主任,我看网络上对他的评价很高,口碑也不错的,而且我也发现了,他是他们团队里技术的顶端代表,做了30多年不开刀治疗了,经验肯定丰富的。
 
去眼袋手术
 
手术的实施是按照经过我同意的方案,治疗的时候真的没啥具体的感受,我是能感觉到按摩感的,可以说是不像做手术吧,更像是给眼睛做按摩。
 
多的不说了,直接上图片展示第七天效果:
 
去眼袋手术
 
△去眼袋手术后
 
其实我最初还有点担心一周内能不能恢复好的,现实证明我多虑了,别说7天了,只用了3天我就眼下平整了。
 
去眼袋手术
 
△去眼袋手术后
 
越是恢复我越是有自信,要知道之前梁医生给我检查出的结果是中度眼袋,伴随着下垂且脂肪分布面积广,但是现在看我睑下哪里还有眼袋啊。
 
去眼袋手术
 
△去眼袋手术后
 
效果实在是不错的,这几天越是恢复眼下的皮肤就越是紧实,我摸的时候不再凹凸不平的,感觉比之前嫩滑多了,大家觉得我年轻了几岁?

去眼袋手术
咨询方式:微信cqcyzxmr11 电话023-67739133
 
变美预约微信:cqcyzxmr11
重庆、北京、广州超声波减肥瘦身、去眼袋、热玛吉、法令纹祛除 © 2002-2021 整形美容网        

美丽热线

023-67739133