023-67739133

新闻资讯

NEWS CENTER
栏目导航
当前位置:超声波减肥 > 超声波去眼袋 >

眼袋的消除手术哪个好用?

发布时间:09, 28, 2025         已有 人浏览
这位患者在关注我期间几乎每天都抱着手机看我的科普视频,这些都是患者的女儿告诉我的,她女儿当时还以为遇到传销组织呢。
 
去眼袋手术
 
△去眼袋手术前
 
后来她女儿了解到患者看的是我的治疗视频,而且我们单位是正规机构,房产证、机构资质什么的都齐全,也就放心了。
 
去眼袋手术
 
最终患者说服了家里人,决定来找我会诊,是她女儿陪着来的。
 
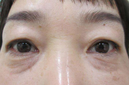
到了医院,我见到了患者,她女儿说我比较亲切,没有专家的架子。我仔细地检查了她的眼部情况,这是典型的衰老型眼袋。
 
去眼袋手术
 
△去眼袋手术前
 
我在触诊的时候感觉到她的眼下有东西在动,稍微按一下就会跑到一边去,这就是脂肪团了,而且主要集中在眶隔内侧和中侧这两个位置。
 
去眼袋手术
 
△去眼袋手术前
 
从侧面看眼下会有明显的隆起,患者往上看的时候眼袋也会随着移动,这时候看着更加的凸起,这是脂肪团的特征,是会来回的滑动的。
 
去眼袋手术
 
其实患者的皮肤还算可以的,没有过分的松弛感,而且也不需要外切去皮,患者也跟我表明的自己的立场,不挨刀,主要就是做不开刀的治疗。
 
看看恢复过后的状态:
 
去眼袋手术
 
△去眼袋手术后
 
到了术后15天,患者独自来找我复诊,笑着跟我说效果非常好,眼下平平整整的,她闺女看到她效果这么好彻底放心了,让她自己来找我复诊。
 
去眼袋手术
 
△去眼袋手术后
 
我给患者做了复诊检查,恢复的挺好的,没有手术痕迹,看着比之前精神,而且术后的皱纹都似乎少了一些。她的改变让朋友们非常惊讶,毕竟有“袋”一族突然没有眼袋了,大家除了好奇外,更惊讶于她是做手术才没有的,但是她完全没有手术的吉祥迹象。
 
去眼袋手术
 
所以,选对去眼袋手术是非常重要的,选对了就等于千里马遇上了伯乐,不仅效果好,而且自然变美,悄悄蜕变。
 
去眼袋手术
 
我是超雅主任医师梁杰,专注不开刀去眼袋30年,有任何眼袋问题,都可以给我留言。
 
咨询方式:微信cqcyzxmr11 电话023-67739133
 
变美预约微信:cqcyzxmr11
重庆、北京、广州超声波减肥瘦身、去眼袋、热玛吉、法令纹祛除 © 2002-2021 整形美容网        

美丽热线

023-67739133