023-67739133

新闻资讯

NEWS CENTER
栏目导航
当前位置:超声波减肥 > 超声波去眼袋 >

熬夜眼袋怎么解决?

发布时间:09, 28, 2025         已有 人浏览
当我今天去大厅的时候,听到一个熟悉的声音,原来是刚找我做完眼袋不久的患者正在大厅跟其他来做眼袋的患者聊天。

去眼袋手术
为何我对这位患者的声音这么熟悉呢?
 
因为患者找我做好去眼袋手术过后,在保养上非常细致的,经常给我发语音问我恢复中的注意事项,问我她做的对不对,所以熟悉了。
 
去眼袋手术
 
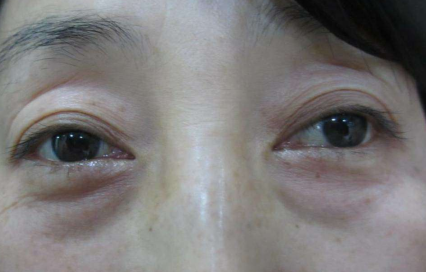
这位患者年龄也不大的,手术前的情况如下:
 
去眼袋手术
 
△去眼袋手术前
 
她非常爱美的,而且喜欢拍照,在镜头下记录自己的生活、工作状态是她最喜欢做的事情,但是眼袋的出现让她在这件事情上受阻不小,毕竟眼袋出现后拍照要修图的,特别费劲。

去眼袋手术
△去眼袋手术前
 
术前她的顾虑主要是:舒适感与留痕
 
对于眼袋术的选择,她看过很多人发布的体验经历、视频等,不过这两个顾虑是她比较在意的,也正因这两点让她犹豫不决。
 
去眼袋手术
 
△去眼袋手术前
 
不过,后来在看到我发布的治疗视频后,她就来找我了。
 
面诊时,我询问了她的要求和想法,在了解到她担心的内容后给她解释了不开刀的原理,很多患者跟她一样对眼袋术的掌握还停留在动刀层面,只要讲解清楚了就接受了。
 
自然的,她很放心的接受了我的治疗,她是中度眼袋,操作仪器不超过25分钟就能快速搞定,下面是她复诊图片:
 
去眼袋手术
 
△去眼袋手术后
 
我给她做复诊时她笑着跟我说效果真的好,她在大厅遇到了好几个找我做眼袋的,还免费给我做了宣传,大家都没有看出她做过手术呢。
 
去眼袋手术
 
△去眼袋手术后
 
只要治疗方式在不开刀的,术后的情况就会出现她这种状态,根本找不出任何的手术迹象,而且还可以快速无痕的恢复。
 
去眼袋手术
 
△去眼袋手术后
 
其实现在的眼袋治疗真的没有大家想象的那么可怕,现在都进入无痕无创的时代了,我的团队做的就是这种项目。
 
去眼袋手术
 
我是超雅主任医师梁杰,专注不开刀去眼袋30年,有任何眼袋问题,都可以给我留言。
 
咨询方式:微信cqcyzxmr11 电话023-67739133
变美预约微信:cqcyzxmr11
重庆、北京、广州超声波减肥瘦身、去眼袋、热玛吉、法令纹祛除 © 2002-2021 整形美容网        

美丽热线

023-67739133