023-67739133

新闻资讯

NEWS CENTER
栏目导航
当前位置:超声波减肥 > 超声波去眼袋 >

眼睛下眼袋红红的要怎么整?

发布时间:08, 28, 2025         已有 人浏览
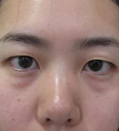
眼睛下眼袋红红的状态是这样的:
 
去眼袋手术
 
△去眼袋手术前
 
好多患者认为眼袋周围的肤色跟皮肤差不多,这可不一定!毕竟眼袋一旦成长到非常成熟的地步就会引发眼周血瘀,也就是所谓的血运不畅导致肤色暗沉、发红。
 
去眼袋手术
 
像这位患者就是血瘀症状明显的,而且集中在眼袋周围,这跟周围的肤色不是一个样的。这说明患者的眼袋已经达到了一定水准了,经我检查是中度后期的。
 
去眼袋手术
 
△去眼袋手术前
 
我的检查确定患者是中度后期发育的,估计好多求美者不信,说这患者的眼袋看着也不肿的嘛!实际上检查是触诊+精细仪器双重确诊的,所以肯定是对的。
 
去眼袋手术
 
△去眼袋手术前
 
这位患者别看凸起程度不太厉害,但是她眶膈骨比较低,这就导致她凸起在皮肤上的鼓包看似不大,但是大家看不到的脂肪多,这也是为什么她血瘀的主要原因。
 
去眼袋手术
 
所以,检查是一个非常重要的环节,如果医生连基本的情况都摸不清楚那治疗的时候肯定不会全面的。
 
下面是患者治疗后:

去眼袋手术
△去眼袋手术后
 
不少患者认为眼袋消失后眼下就塌下去了,但是这位患者凸起的不多,看不到的很多,治疗后也没有塌下去,反而平整的。
 
去眼袋手术
 
△去眼袋手术后
 
大家要知道一点,这是我强调过的:
 
任何眼袋在没有膨胀之前,我们眼下方就是自然的凹,这种凹是非常顺畅的,不突兀的,去掉眼袋后只不过是回归到原本的形态。
 
去眼袋手术
 
还有,自从做完去眼袋手术这位患者的眼部血瘀症状消失了,肤色正常,眼部疲劳感也不见了,她对这次治疗特别满意。
 
去眼袋手术
 
我是超雅主任医师梁杰,专注不开刀去眼袋30年,有任何眼袋问题,都可以给我留言。
 
咨询方式:微信cqcyzxmr11 电话023-67739133
 
变美预约微信:cqcyzxmr11
重庆、北京、广州超声波减肥瘦身、去眼袋、热玛吉、法令纹祛除 © 2002-2021 整形美容网        

美丽热线

023-67739133