023-67739133

新闻资讯

NEWS CENTER
栏目导航
当前位置:超声波减肥 > 超声波去眼袋 >

眼袋消除最好的方法

发布时间:09, 03, 2025         已有 人浏览
今天就有人问我找我做眼袋什么时候恢复好?而且她还是近视眼,得戴着眼镜,问我能不能做完后就戴着?要说恢复情况,大概3--5天,至于戴眼镜术后就可以戴的。比方这位患者:
 
去眼袋手术
 
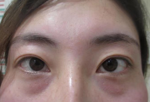
△去眼袋手术前
 
这位患者在术前的照片拍摄中虽然没有戴着眼镜,但是她是近视眼,平时是离不开眼镜的,所以在手术前就问过我术后能不能及时的戴眼镜。
 
去眼袋手术
 
像她这种近视眼的患者,术后是可以立马就戴上的。当然了,如果比较浮肿的话,也是不影响戴眼镜的,毕竟我的不开刀治疗在封闭式的治疗模式下也不会过于浮肿。
 
去眼袋手术
 
△去眼袋手术前
 
手术前这位患者经我检查就是中等程度的脂肪发育,内侧和中侧的外溢组织最为明显,外侧是基本没有的,这点通过基本的触诊方式就可以判断。当然了,手术前的检查我还有另外的精密环节——精密仪器的检测。
 
去眼袋手术
 
△去眼袋手术前
 
经过精密仪器检测过后,患者眼下方的内容物就基本确定了,什么体积、面积多大、什么结构分布,哪个地方的脂肪更密集一些等等一目了然。

去眼袋手术
△去眼袋手术前
 
我检查过后得出的结论是:①下睑脂肪突出形成眼袋②加上结构型眼圈比较明显,导致精神状态不好,但是皮肤的紧实度还是可以的,术后回缩能力强。
 
下面来看看患者三天之后戴眼镜的状态吧:
 
去眼袋手术
 
△去眼袋手术后
 
患者其实在临走前就戴眼镜了,她的术后浮肿感非常低,基本没有浮肿,戴上眼睛根本不受影响,而且眼周条件好,恢复也快。
 
去眼袋手术
 
△去眼袋手术后
 
眼部变得平整,眼底凹凸感消失,比起之前看着精神强了,也减龄了,她非常满意,还介绍她妈妈来找我做眼袋,非常感谢信任!
 
去眼袋手术
 
我是超雅主任医师梁杰,专注不开刀去眼袋30年,有任何眼袋问题,都可以给我留言。
 
咨询方式:微信cqcyzxmr11 电话023-67739133
 
变美预约微信:cqcyzxmr11
重庆、北京、广州超声波减肥瘦身、去眼袋、热玛吉、法令纹祛除 © 2002-2021 整形美容网        

美丽热线

023-67739133