“这么年轻就做眼袋术,没有必要的”“别太担心,早点睡,多用点化妆品就可以了。”,这样的声音这位患者听说太多次了,但是她一直想做手术。
△去眼袋手术前
尤其是看到跟自己年岁差不多的人甚至比她年纪还要大的人比她还要光鲜亮丽时,她心里特别不是滋味,觉得一点自信都没有。
经过长时间的了解之后,她选择了我的治疗,因为她对我分享的不开刀治疗非常有兴趣,觉得这个方法不必动刀,结合先进的仪器设备检测到脂肪团,在不损害眼部的情况下完成治疗。
△去眼袋手术前
面诊设计治疗方案
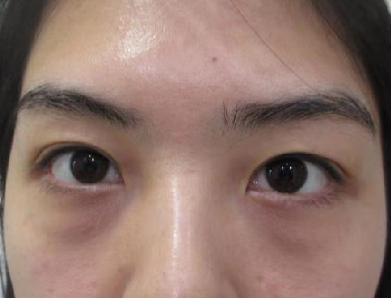
面诊时,我确定了患者是中等程度的眼袋发育,而且她耳朵眼下内侧中侧的脂肪团的组织都有堆积的现象,外溢感十分的明显,已经外凸起形成了袋状,看着十分的憔悴,还有眼圈。

△去眼袋手术前
而且不管是从什么角度观测,她的下睑都是有一定程度凸起的,这与眼周形成了明显了对比,出现了凹陷感,所以整个眼部看起来很累赘。
无创手术,做完就走
手术采取的是不开刀的治疗,整个过程没有痛感,我在操作的时候也是非常熟练、轻柔的,很快就做好了。
手术恢复顺利,如下图:
△去眼袋手术后
这个手术本来就是很小型的治疗,属于微调,而且我的不开刀知道又是轻便、无介入的方法,所以术后恢复快,患者三天左右基本自然了。
△去眼袋手术后
这个手术是真省时间,不像全麻手术一样不省人事,还要人陪着,这个治疗用镇痛药物敷皮肤就可以完全无痛感,做好当天回家,现在眼睑下方平整光滑了。
△去眼袋手术后
不包扎,没有伤口,简单的按照我的叮嘱就能实现睑下年轻态,现在患者看着比之前年轻又精神的。
我是超雅主任医师梁杰,专注不开刀去眼袋30年,有任何眼袋问题,都可以给我留言。
咨询方式:微信cqcyzxmr11 电话023-67739133