023-67739133

新闻资讯

NEWS CENTER
栏目导航
当前位置:超声波减肥 > 超声波去眼袋 >

什么东西去眼袋效果最好

发布时间:08, 11, 2025         已有 人浏览
最近来了好多找我复诊的患者,有1年前找我做眼袋的,也有半年前的,各个阶段的都有。今天给大家看的是一位半年前找我做眼袋的患者复诊情况,先看她手术前:
 
去眼袋手术
 
△去眼袋手术前
 
这位患者是先天性的眼袋,从未有过医美整容经验,不过她从朋友那知道要先打听医生资质,在看医生的手术经验,看做过的案例是否自然,是否有伤口等等。
 
去眼袋手术
 
于是精挑细选,最后认定了我。按照她说的话就是:我给她满满的安全感。
 
说白了还不是因为我的治疗是不开刀的,可以给她温和、不留疤的效果。
 
去眼袋手术
 
△去眼袋手术前
 
对于先天性眼袋的眼部条件,除非是比较年轻的,比方20岁左右或者还不到30岁的,眼部的纹路就比较少一些,但是这位患者已经30+了,眼部纹路比较明显,加上她是干性皮肤,更容易形成干纹。
 
去眼袋手术
 
△去眼袋手术前
 
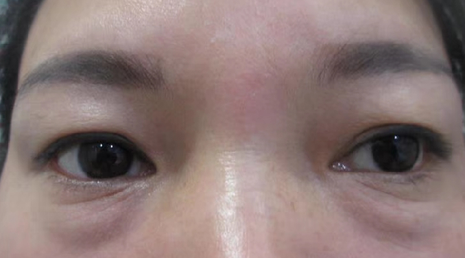
在我的检查下确定患者是带着垂度的中度眼袋,这点通过上面近图的拍摄可以看出,有倒三角的形态,而且外观上是内侧和中侧脂肪外溢,有几道干纹。卧蚕存在感很弱,几乎不存在的感觉了。
 
去眼袋手术
 
手术治疗方案:不开刀去眼袋。
 
手术当天如下,有一小部分的发青:
 
去眼袋手术
 
△去眼袋手术后
 
发青的位置主要集中在原本中部眶膈脂肪的位置,因为这个部位的脂肪量多一些,所以操作时间久了,加上患者自身体质,所以有点发青,但是外观形态上除了浮肿、小部位发青,没有痕迹,不包扎。
 
手术3天如下:
 
去眼袋手术
 
△去眼袋手术后
 
浮肿和发青部位的代谢能力强,非常的稳定,眼下方平整多了,就连之前那几道细纹都看着比之前浅了。
 
手术7天如下:
 
去眼袋手术
 
△去眼袋手术后
 
特别的自然,而且已经恢复的很不错了,眼部紧实,卧蚕都比较凸显了,比起之前一点都不显眼的情况着实好多了。
 
复诊的情况如下:
 
去眼袋手术
 
△去眼袋手术后
 
眼部皱纹比半年前的情况好太多了,明显减少了,而且眼睑处的形态是自然的,证明手术只是做的眼袋,并未伤害其他组织。
 
我是超雅主任医师梁杰,专注不开刀去眼袋30年,有任何眼袋问题,都可以给我留言。
 
咨询方式:微信cqcyzxmr11 电话023-67739133
 
变美预约微信:cqcyzxmr11
重庆、北京、广州超声波减肥瘦身、去眼袋、热玛吉、法令纹祛除 © 2002-2021 整形美容网        

美丽热线

023-67739133