023-67739133

新闻资讯

NEWS CENTER
栏目导航
当前位置:超声波减肥 > 超声波去眼袋 >

按摩四白对眼袋有效吗

发布时间:08, 05, 2025         已有 人浏览
大家知道四白穴在哪个地方吗?我给大家看看那图片:
 
眼袋
 
这个四白穴是在眼下方,在网上很多人都说按摩四白穴可以让眼部的血液循环变好,从而实现眼袋的消除。
 
眼袋
 
其实,对于直接祛除眼袋,按摩四白穴并的效果并不显著,因为眼袋是脂肪团的外溢,虽然在四白穴处做有规律的按摩可以促进眼部血液循环,缓解眼部疲劳,但并不能直接去除眼袋。
 
眼袋
 
因此,如果有眼袋问题,还是要寻求专业的整形外科医生咨询、治疗,通过专业诊断会给患者具体的治疗方案。
 
眼袋
 
比方这位患者就在发现自己无论怎么按摩都没有去掉眼袋的效果后转而咨询了各个单位的医生,对比后选择我的治疗措施。
 
眼袋
 
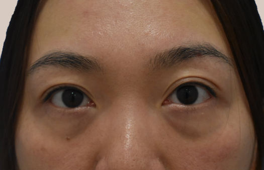
△去眼袋前
 
患者是眼袋内侧和中侧都有不同程度脂肪外溢的问题,眼下方的脂肪发育明显,而且有一定的垂坠感,显得她十分的的倦怠。
 
眼袋
 
△去眼袋前
 
患者的眼圈也是附着在眼袋周围的,因为年龄原因皮肤上有一些小细纹,但是还未出现深度的皱纹。同时,我在检查时发现她的眼下方脂肪外溢带来了睑下卧蚕的萎缩。
 
手术方案:不开刀去眼袋。
 
下面是患者术后第五天的返图:
 
眼袋
 
△去眼袋后
 
这眼部的情况改善之后,眼睛都漂亮了许多,整个人看着特别的灵动,而且眼下方平滑、整洁,毫无痕迹。
 
眼袋
 
△去眼袋后
 
眼睛下方的眼圈也变得清淡许多了,看着精气神都好了不少,患者对此效果特别满意,说颜值比之前好太多了。
 
眼袋
 
最后,按摩任何穴位对眼袋是没有任何缓和作用的,想祛掉就得借助医美的助力。
 
我是超雅主任医师梁杰,专注不开刀去眼袋30年,有任何眼袋问题,都可以给我留言。
 
咨询方式:微信cqcyzxmr11 电话023-67739133
 
 
 
 
变美预约微信:cqcyzxmr11
重庆、北京、广州超声波减肥瘦身、去眼袋、热玛吉、法令纹祛除 © 2002-2021 整形美容网        

美丽热线

023-67739133